안녕하세요 닥터 김입니다.

점점 따뜻해지면서 복장뿐만 아니라 신발도 가벼워졌어요. 특히 하이힐이나 플랫슈즈를 신는 여성이 많아졌습니다. 그러나 발볼이 좁은 신발을 오랫동안 혹은 반복적으로 신으면 엄지발가락이 돌출되는 무지외반증으로 이어질 수 있습니다. 무지외반증이란 엄지발가락이 두 번째 손가락으로 휘어져 통증이 발생하는 질환을 말합니다.일반적으로 발가락이 15도 이상 구부러진 경우 무지외반증으로 진단됩니다. 시간이 지나면서 점차 두 번째 손가락에서 구부러지기 시작하고, 이윽고 다른 발가락도 도미노처럼 휘어져 결국에는 다리 전체의 균형을 잃고 맙니다. 무지외반증은 평발, 평발, 지나치게 유연한 발 등 선천적 요인으로도 발생할 수 있지만 후천적 요인에 의해 생기는 경우도 많습니다.

하이힐 등 신발의 코가 좁고 굽이 높은 구두나 꽉 끼는 신발을 신으면 발 앞 압력을 높이는 것이 무지외반증의 원인이 될 수 있습니다. 하이힐은 특성상 발뒤꿈치가 높게 들려 발의 균형을 불안정하게 만들고, 이러한 원인으로 인해 발 앞에 체중이 실리고 혈액순환도 원활하지 않으면 발가락이 휘어 변형될 수 있습니다.초기에는 발볼이 좁은 신발이나 딱 맞는 신발을 신었을 때 다리가 피곤해서 엄지발가락에 굳은살이 박히는 정도입니다. 하지만 점점 심해지면 편한 신발을 신어도 일부 부위에 통증을 느끼게 됩니다. 걷다가 신발을 벗었을 때 엄지발가락 안쪽 부분이 빨갛게 변하며 아프면 무지외반증을 의심해봐야 합니다.

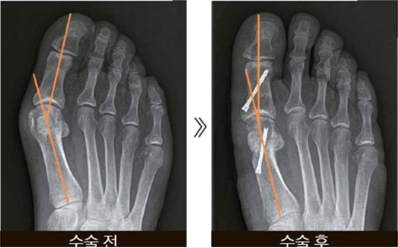
무지외반증의 큰 증상은 발가락 변형입니다. 엄지발가락이 검지로 심하게 휘어지고 안쪽으로 회전하여 엄지발가락 관절이 돌출된 상태가 됩니다. 심하면 발가락끼리 겹치는 마찰을 피하려고 무의식적으로 엄지발가락을 들어 걷게 되므로 정기적으로 골반이나 허리, 무릎까지 통증을 느낄 수 있습니다.무지외반 수술 병원에서는 치료로 가장 중요하게 여겨지는 것이 통증입니다. 무지외반 수술을 결정하는 데 가장 중요한 것은 환자가 느끼는 통증 정도입니다. 다리 변형이 있어도 통증이 심하지 않으면 수술을 할 필요가 없으며 보조기나 교정깔창, 약물 등으로 치료할 수 있습니다.

무지외반 수술은 통증이 심해 신발을 신기 불편한 경우, 엄지발가락이 심하게 휘거나 이미 다른 발가락까지 변형된 경우 등으로 고려하게 됩니다. 일반적으로 두출 부위의 뼈를 깎고 내외로 치우친 뼈를 잘라 각을 교정하며 짧아진 근육 및 연부조직을 늘리는 방법으로 보통 2~3일 정도 입원하게 되며 특수화를 착용하고 목발 없이 걸을 수 있습니다.다리 길이보다 발볼을 생각해서 자신에게 맞는 신발을 선택하는 것이 중요합니다. 가능하면 신발은 다리가 부어 있는 상태인 오후 늦게나 저녁에 구입하는 것이 좋아요. 신발깔창을 꺼내서 바닥에 놓고 그 위로 올라갔을 때 발이 깔창에서 잘 나오지 않는 신발을 선택하면 실패할 확률은 거의 없습니다.
![]()
또한 굽이 너무 낮은 신발은 충격을 흡수하는 쿠션 역할을 하지 않으므로 발 건강에 좋지 않습니다. 굽은 4cm 미만이 적당하며 가급적 자신의 발에 맞는 신발을 선택하여 발 피로도를 줄이는 것이 바람직합니다.직업적인 요인으로 하이힐이나 굽 높은 신발 착용이 불가피한 경우에는 가끔 다리 스트레칭을 하거나 40도 정도의 물에 발을 5분 정도 족욕하는 것도 다리에 쌓인 긴장감을 푸는 데 도움이 됩니다.
![]()
또한 굽이 너무 낮은 신발은 충격을 흡수하는 쿠션 역할을 하지 않으므로 발 건강에 좋지 않습니다. 굽은 4cm 미만이 적당하며 가급적 자신의 발에 맞는 신발을 선택하여 발 피로도를 줄이는 것이 바람직합니다.직업적인 요인으로 하이힐이나 굽 높은 신발 착용이 불가피한 경우에는 가끔 다리 스트레칭을 하거나 40도 정도의 물에 발을 5분 정도 족욕하는 것도 다리에 쌓인 긴장감을 푸는 데 도움이 됩니다.

또한 굽이 너무 낮은 신발은 충격을 흡수하는 쿠션 역할을 하지 않으므로 발 건강에 좋지 않습니다. 굽은 4cm 미만이 적당하며 가급적 자신의 발에 맞는 신발을 선택하여 발 피로도를 줄이는 것이 바람직합니다.직업적인 요인으로 하이힐이나 굽 높은 신발 착용이 불가피한 경우에는 가끔 다리 스트레칭을 하거나 40도 정도의 물에 발을 5분 정도 족욕하는 것도 다리에 쌓인 긴장감을 푸는 데 도움이 됩니다.

또한 굽이 너무 낮은 신발은 충격을 흡수하는 쿠션 역할을 하지 않으므로 발 건강에 좋지 않습니다. 굽은 4cm 미만이 적당하며 가급적 자신의 발에 맞는 신발을 선택하여 발 피로도를 줄이는 것이 바람직합니다.직업적인 요인으로 하이힐이나 굽 높은 신발 착용이 불가피한 경우에는 가끔 다리 스트레칭을 하거나 40도 정도의 물에 발을 5분 정도 족욕하는 것도 다리에 쌓인 긴장감을 푸는 데 도움이 됩니다.

또한 굽이 너무 낮은 신발은 충격을 흡수하는 쿠션 역할을 하지 않으므로 발 건강에 좋지 않습니다. 굽은 4cm 미만이 적당하며 가급적 자신의 발에 맞는 신발을 선택하여 발 피로도를 줄이는 것이 바람직합니다.직업적인 요인으로 하이힐이나 굽 높은 신발 착용이 불가피한 경우에는 가끔 다리 스트레칭을 하거나 40도 정도의 물에 발을 5분 정도 족욕하는 것도 다리에 쌓인 긴장감을 푸는 데 도움이 됩니다.


![]()
